
两名38岁宝爸开云体育(中国)官方网站
吞并天因为急性心梗被送进病院
且王人发生在剧烈畅通明
一个陪娃打了10分钟羽毛球
一个陪娃爬了次山
王人说畅通会使东说念主健康
这到底是咋回事?
打了10分钟羽毛球
腹黑就受不明晰
“我王人瘦了10斤了,怎样如故没逃过心梗?”
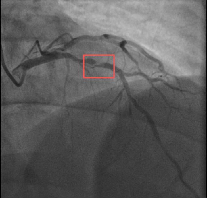
孙先生(假名)身高173cm,体重约90KG,是一位羽毛球教练。一年前,他因胸闷就诊时被查出腹黑右冠中段、远端钙化斑块,以及腹黑三支主要血管之一前降支中段60%局促。其时推敲到莫得三高的危境身分(可能为早发冠心病眷属史),孙先生也驯顺我方可以通过畅通复原健康,因此阻隔了介入诊疗,只经受药物诊疗。

介入诊疗前影像图
孙先生花了一年手艺
体重从正本的96KG瘦到90KG
但让他没思到的是
或然如故来了
近日,他带孩子去肃肃羽毛球,没思到切身上场挥杆仅10分钟傍边,孙先生就因心前区剧烈绞痛被送进了急诊。
浙江病院心血管内科的医师疏析,剧烈畅通导致这位患者腹黑的不融会斑块破碎,进而酿成前降支近段次全阻滞。所幸送医实时,孙先生的体魄险情被化解。
介入诊疗后影像图
爬了一次山隔天就胸痛
“多亏了你们,我智力实时出险。但我平时体魄还可以,只好点高血糖,怎样会倏得心梗呢?”
吞并天,38岁的钱先生(假名)也有同样遭逢。
钱先生的血糖一直偏高,服药后适度欠安,但年青的他并莫得太上心。周末,他和孩子爬了一座山,隔天就因突发胸骨中段压榨性难堪被送到了急诊,临了被阐发亦然心梗——腹黑三支主要血管之一趟旋支远段次全阻滞。
医师先容,钱先生来院时血糖12.79mmol/L(平素空心值应该在3.9~6.1mmol/L),甘油三酯也超标。三高是导致动脉粥样硬化(包括腹黑的冠状动脉)的主要危境身分,在冠状动脉粥样硬化早期,血管局促可能并不严重,仅当血管局促到一定进度时,在畅通、心扉激昂等情况下,心肌耗氧量加多,就可能酿有益梗等急性心肌缺血事件。
所幸实时诊疗,钱先生也妙手回春。
高危东说念主群
不要应付给锻真金不怕火“上强度”
长期司法、适度的畅通是防御心血管疾病最有用的格式之一,但关于已有潜在腹黑问题或高危身分的东说念主群,倏得、剧烈的畅通却可能成为急性心肌梗死的“导火索”。
医师诠释注解,剧烈畅通主要通过三种机制诱发心肌梗死。
斑块破碎:
剧烈畅通时,心跳加快、血压升高,血流对血管壁的冲击力增大。若冠状动脉内存在不融会的动脉粥样硬化斑块(由胆固醇、炎症细胞等堆积形成),这种冲击可能径直导致斑块破碎。破碎后,斑块本色物知晓在血液中,激励血小板集会和血栓形成,最终堵塞血管,导致心肌缺血或坏死。
心肌氧供需失衡:
剧烈畅通时,腹黑自己需要更极力地职责,耗氧量急剧加多。但关于冠状动脉如故局促的东说念主来说,血流无法相应加多,无法自傲心肌的需求,从而导致心肌缺血,也可能在莫得斑块破碎的情况下激励心绞痛甚真心肌梗死。
血管痉挛:
剧烈畅通可能通过交感神经振作或电解质失衡(如低钾、低镁)激励冠状动脉发生痉挛,使血管倏得减轻,酿成管腔局促,血流中断。
怎样判断畅通是否过量?
可以测量畅通明的血压来判断是否畅通过量。
畅通明血压会有所上涨,但不会>140/90mmHg。如果你畅通明发现血压>180/110mmHg,即等于后头下落到平素区间,仍诠释畅通过度,要实时减少畅通量。
这两位38岁奶爸突发心梗
王人可能与剧烈畅通明
心肌供血不及、
不融会斑块破碎关连
那么
日常公共应该怎样防御剧烈畅通
诱发的心梗呢?
医师提议
1.先作念心血管风险筛查
(1)通过老例体检了解自身血压、血脂、血糖水平,排查是否存在冠心病等基础疾病。
(2)畅通前评估腹黑耐受度:衰败司法畅通者可作念畅通负荷考验,判断腹黑对畅通的相宜智商,幸免盲目挑战超出生体承受边界的畅通。
2.科学打算畅通有筹画
(1)效用“步骤渐进”原则:先从低强度畅通(如快走、慢跑)运行,逐渐加多畅通量。
(2)作念好畅通前后准备:畅通前花5~10分钟热身;畅通明不要坐窝停驻,通过慢走、拉伸等格式放心降心率。
(3)隐私危境体育场景:幸免在高温高湿、风凉大风环境下长手艺剧烈畅通;熬夜、过度疲钝、饮酒、伤风后24小时内不进行高强度畅通;畅通中或畅通明若出现不适,立即住手并休息。
发生暴毙的东说念主群越来越趋于年青化
“咱们在临床中发现,如今发生暴毙的东说念主群越来越趋于年青化。”浙大二院急诊科卢骁副主任医师曾接诊一个20多岁的年青女孩子,平时上班相比忙,糊口节拍很快。发生暴毙的前一天晚上,她熬了个彻夜,比及了第二天早上才回寝室睡眠。中午的时候,室友怎样叫她王人没响应,这才发现她如故晕厥不醒了,连忙拨打120电话把她送到病院急诊抢救。
王人说“畅通是良医”,但不当的畅通格式、手艺和强度,反而可能成为触发腹黑事件的“临了一根稻草”。
据统计,约50%的腹黑暴毙患者在事件发生前从未被会诊出腹黑问题;年齿大于35岁的腹黑暴毙患者,85%以上的原因是腹黑冠状动脉病变。王雁主任医师默示,关于“三高”和年齿大于35岁东说念主群,激烈提议进行畅通考验的评估,制定个体化的畅通处方,包括畅通类型、畅通强度、畅通频率、畅通手艺、畅通总量。
寰宇卫生组织推选成年东说念主每周密少150分钟中等强度或75分钟的高强度有氧畅通。但必须步骤渐进,幸免倏得加多畅通量和强度。
更多密致报说念请点击 ➤手艺新闻
开始:羊城晚报、新闻坊、浙江病院、杭州网
剪辑:重阳开云体育(中国)官方网站